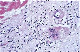
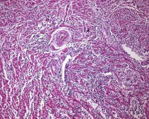
Миокардит – заболевание, которое характеризуется воспалением сердечной мышцы. Причинами его могут стать различные бактерии, грибы, иммунные и аллергические заболевания, паразитарные инвазии, медицинские препараты, вакцины и др. Чаще всего, миокардит возникает после перенесенных вирусных инфекций. Различают несколько видов заболевания, в зависимости от причины. 1. Аллергический (на мед. препараты).

Новость из категории
Метки: