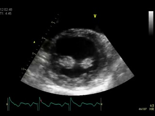
Чтобы жить долго и счастливо, нужно здоровое сердце. Не забудьте регулярно проверять состояние этого важного органа с помощью УЗИ. Ежегодно в России от болезней сердца умирают 1 млн 300 тысяч человек. Ранняя диагностика позволяет существенно снизить риск тяжелых осложнений. Ультразвуковое исследование сердца (УЗИ) сердца, или эхокардиография, – это точный, быстрый и безопасный способ оценки толщины […]

Новость из категории
Метки: