Теперь для прогнозирования переломов можно использовать зубной рентген, который сделал врач стоматолог во время очередного приема, уверяют ученые из Академии Салгренска. Результаты исследования опубликованы в издании Nature Reviews Endocrinology.
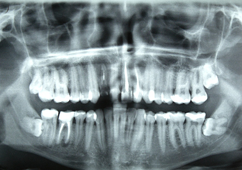
В предыдущем исследовании ученые из университета Гетеборга показали, что редкая костная структура трабекулярной кости нижней челюсти связана с высоко вероятностью переломов в будущем.
Ученые провели дальнейшие исследования и выяснили, что зубные рентгены можно использовать для исследования структуры кости нижней челюсти, чтобы спрогнозировать риск переломов в будущем. С помощью зубного рентгена каждый сможет предугадать понадобится ли ему в будущем рентген на дому в Санкт-Петербурге при получении травмы.
«Мы установили, что разреженная костная структура в нижней челюсти в средние годы непосредственно связана с риском переломов в других частях тела позже в жизни», сказал Лорен Лисснер из медицинского института Академии Салгренска.
Чем старше пациент, тем более сильна связь между редкой структурой челюстной кости и переломами других частей тела.
Хотя исследование было проведено на женщинах, ученые полагают, что для мужчин результаты будут аналогичными.

Новость из рубрики
Метки: